CN EN
400-8228-027
咨询电话
咨询电话:400-8228-027
客服微信
微信公众号
联系我们
iPSC-心肌细胞
货号:
JY03-01-01
规格:
1×106cells/支
储存条件:
液氮
产品介绍:
本产品是正常iPSC来源的即用型高纯度心肌样细胞,主要由具备自主收缩能力的心室肌样细胞组成。这些细胞表达心肌特异性蛋白—心肌肌钙蛋白T(cTnT)和MLC2V关键标志物。同时,心肌样细胞具备经典的心肌细胞电生理活性,能够对电学、生物化学和机械刺激做出心肌细胞的常规反应。以电生理和钙转导信号记录为例,这些细胞可以作为新药筛选,毒理学测定和其他生理学研究的理想工具,适用于基础和临床科学研究等应用。
产品优势

与传统鼠源心肌细胞不同,本产品是一种高纯度的体外分化人源心肌样细胞。经过严格的质检把控,可确保心肌细胞纯度达90%以上。具备心肌特有的收缩功能,为科学研究提供更准确的模型。

操作流程和注意事项

细胞接收后,观察记录细胞在运输中有无融化迹象,冻存管是否完整。

需立即转移至液氮中,可暂时放至-80℃冰箱中,切记不可长时间储存。

冻存管建议复苏培养体系:6孔板2孔。

使用范围
本产品仅供科研使用,不可用于临床治疗等其他用途。
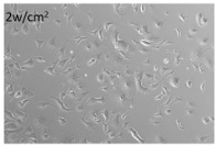
细胞特征
iPSC-心肌细胞复苏后明场形态(4X)2w
iPSC-心肌细胞复苏后明场形态(4X)5w
产品信息

细胞类型

货号

规格

iPSC-心肌细胞

JY03-01-01

1×10⁶/支

 

基本 文件 流程 错误 SQL 调试
  1. 请求信息 : 2026-03-03 05:30:44 HTTP/2.0 GET : https://somaxbio.com/product/iPSC_derived_cells/20.html
  2. 运行时间 : 0.150580s [ 吞吐率:6.64req/s ] 内存消耗:5,472.63kb 文件加载:181
  3. 缓存信息 : 0 reads,0 writes
  4. 会话信息 : SESSION_ID=c6214d32ce711c0e089dc01b6c191d10
  1. /www/wwwroot/somaxbio.com/public/index.php ( 0.79 KB )
  2. /www/wwwroot/somaxbio.com/vendor/autoload.php ( 0.73 KB )
  3. /www/wwwroot/somaxbio.com/vendor/composer/autoload_real.php ( 1.63 KB )
  4. /www/wwwroot/somaxbio.com/vendor/composer/platform_check.php ( 0.90 KB )
  5. /www/wwwroot/somaxbio.com/vendor/composer/ClassLoader.php ( 15.99 KB )
  6. /www/wwwroot/somaxbio.com/vendor/composer/autoload_static.php ( 11.16 KB )
  7. /www/wwwroot/somaxbio.com/vendor/topthink/think-helper/src/helper.php ( 8.34 KB )
  8. /www/wwwroot/somaxbio.com/vendor/topthink/think-validate/src/helper.php ( 2.19 KB )
  9. /www/wwwroot/somaxbio.com/vendor/symfony/deprecation-contracts/function.php ( 0.99 KB )
  10. /www/wwwroot/somaxbio.com/vendor/topthink/think-orm/src/helper.php ( 1.47 KB )
  11. /www/wwwroot/somaxbio.com/vendor/topthink/think-orm/stubs/load_stubs.php ( 0.16 KB )
  12. /www/wwwroot/somaxbio.com/vendor/topthink/framework/src/think/Exception.php ( 1.69 KB )
  13. /www/wwwroot/somaxbio.com/vendor/topthink/think-container/src/Facade.php ( 2.71 KB )
  14. /www/wwwroot/somaxbio.com/vendor/ralouphie/getallheaders/src/getallheaders.php ( 1.60 KB )
  15. /www/wwwroot/somaxbio.com/vendor/symfony/polyfill-mbstring/bootstrap.php ( 8.26 KB )
  16. /www/wwwroot/somaxbio.com/vendor/symfony/polyfill-mbstring/bootstrap80.php ( 9.78 KB )
  17. /www/wwwroot/somaxbio.com/vendor/guzzlehttp/guzzle/src/functions_include.php ( 0.16 KB )
  18. /www/wwwroot/somaxbio.com/vendor/guzzlehttp/guzzle/src/functions.php ( 5.54 KB )
  19. /www/wwwroot/somaxbio.com/vendor/overtrue/socialite/src/Contracts/FactoryInterface.php ( 0.47 KB )
  20. /www/wwwroot/somaxbio.com/vendor/overtrue/socialite/src/Contracts/UserInterface.php ( 1.04 KB )
  21. /www/wwwroot/somaxbio.com/vendor/overtrue/socialite/src/Contracts/ProviderInterface.php ( 2.89 KB )
  22. /www/wwwroot/somaxbio.com/vendor/symfony/var-dumper/Resources/functions/dump.php ( 0.99 KB )
  23. /www/wwwroot/somaxbio.com/vendor/overtrue/wechat/src/Kernel/Support/Helpers.php ( 2.63 KB )
  24. /www/wwwroot/somaxbio.com/vendor/overtrue/wechat/src/Kernel/Helpers.php ( 1.89 KB )
  25. /www/wwwroot/somaxbio.com/vendor/querypath/querypath/src/qp_functions.php ( 9.10 KB )
  26. /www/wwwroot/somaxbio.com/vendor/topthink/think-captcha/src/helper.php ( 1.37 KB )
  27. /www/wwwroot/somaxbio.com/vendor/topthink/think-dumper/src/helper.php ( 0.18 KB )
  28. /www/wwwroot/somaxbio.com/vendor/symfony/var-dumper/VarDumper.php ( 3.73 KB )
  29. /www/wwwroot/somaxbio.com/vendor/topthink/framework/src/think/App.php ( 15.30 KB )
  30. /www/wwwroot/somaxbio.com/vendor/topthink/think-container/src/Container.php ( 15.76 KB )
  31. /www/wwwroot/somaxbio.com/vendor/psr/container/src/ContainerInterface.php ( 1.02 KB )
  32. /www/wwwroot/somaxbio.com/app/provider.php ( 0.25 KB )
  33. /www/wwwroot/somaxbio.com/vendor/topthink/framework/src/think/Http.php ( 6.04 KB )
  34. /www/wwwroot/somaxbio.com/vendor/topthink/think-helper/src/helper/Str.php ( 7.29 KB )
  35. /www/wwwroot/somaxbio.com/vendor/topthink/framework/src/think/Env.php ( 4.68 KB )
  36. /www/wwwroot/somaxbio.com/app/common.php ( 22.17 KB )
  37. /www/wwwroot/somaxbio.com/app/data/cache/modelCache.php ( 15.49 KB )
  38. /www/wwwroot/somaxbio.com/app/data/cache/catCache.php ( 18.14 KB )
  39. /www/wwwroot/somaxbio.com/vendor/topthink/framework/src/helper.php ( 18.78 KB )
  40. /www/wwwroot/somaxbio.com/vendor/topthink/framework/src/think/Config.php ( 5.54 KB )
  41. /www/wwwroot/somaxbio.com/config/app.php ( 2.59 KB )
  42. /www/wwwroot/somaxbio.com/vendor/topthink/framework/src/think/facade/Config.php ( 1.37 KB )
  43. /www/wwwroot/somaxbio.com/config/extra/setting.php ( 0.18 KB )
  44. /www/wwwroot/somaxbio.com/config/extra/email.php ( 0.53 KB )
  45. /www/wwwroot/somaxbio.com/config/extra/mobile.php ( 0.12 KB )
  46. /www/wwwroot/somaxbio.com/config/extra/upload_img.php ( 0.20 KB )
  47. /www/wwwroot/somaxbio.com/config/extra/upload_video.php ( 0.13 KB )
  48. /www/wwwroot/somaxbio.com/config/extra/upload_file.php ( 0.20 KB )
  49. /www/wwwroot/somaxbio.com/config/extra/search.php ( 0.12 KB )
  50. /www/wwwroot/somaxbio.com/config/extra/login.php ( 0.07 KB )
  51. /www/wwwroot/somaxbio.com/config/cache.php ( 0.78 KB )
  52. /www/wwwroot/somaxbio.com/config/captcha.php ( 1.12 KB )
  53. /www/wwwroot/somaxbio.com/config/console.php ( 0.23 KB )
  54. /www/wwwroot/somaxbio.com/config/cookie.php ( 0.56 KB )
  55. /www/wwwroot/somaxbio.com/config/database.php ( 2.13 KB )
  56. /www/wwwroot/somaxbio.com/vendor/topthink/framework/src/think/facade/Env.php ( 1.67 KB )
  57. /www/wwwroot/somaxbio.com/config/filesystem.php ( 0.63 KB )
  58. /www/wwwroot/somaxbio.com/config/lang.php ( 1.07 KB )
  59. /www/wwwroot/somaxbio.com/config/log.php ( 1.35 KB )
  60. /www/wwwroot/somaxbio.com/config/middleware.php ( 0.19 KB )
  61. /www/wwwroot/somaxbio.com/config/route.php ( 1.75 KB )
  62. /www/wwwroot/somaxbio.com/config/session.php ( 0.57 KB )
  63. /www/wwwroot/somaxbio.com/config/trace.php ( 0.34 KB )
  64. /www/wwwroot/somaxbio.com/config/view.php ( 0.82 KB )
  65. /www/wwwroot/somaxbio.com/app/event.php ( 0.25 KB )
  66. /www/wwwroot/somaxbio.com/vendor/topthink/framework/src/think/Event.php ( 7.67 KB )
  67. /www/wwwroot/somaxbio.com/app/service.php ( 0.13 KB )
  68. /www/wwwroot/somaxbio.com/app/AppService.php ( 0.26 KB )
  69. /www/wwwroot/somaxbio.com/vendor/topthink/framework/src/think/Service.php ( 1.64 KB )
  70. /www/wwwroot/somaxbio.com/vendor/topthink/framework/src/think/Lang.php ( 7.35 KB )
  71. /www/wwwroot/somaxbio.com/vendor/topthink/framework/src/lang/zh-cn.php ( 13.70 KB )
  72. /www/wwwroot/somaxbio.com/app/lang/zh-cn.php ( 0.46 KB )
  73. /www/wwwroot/somaxbio.com/vendor/topthink/framework/src/think/initializer/Error.php ( 3.31 KB )
  74. /www/wwwroot/somaxbio.com/vendor/topthink/framework/src/think/initializer/RegisterService.php ( 1.33 KB )
  75. /www/wwwroot/somaxbio.com/vendor/services.php ( 0.21 KB )
  76. /www/wwwroot/somaxbio.com/vendor/topthink/framework/src/think/service/PaginatorService.php ( 1.52 KB )
  77. /www/wwwroot/somaxbio.com/vendor/topthink/framework/src/think/service/ValidateService.php ( 0.99 KB )
  78. /www/wwwroot/somaxbio.com/vendor/topthink/framework/src/think/service/ModelService.php ( 2.04 KB )
  79. /www/wwwroot/somaxbio.com/vendor/topthink/think-captcha/src/CaptchaService.php ( 0.52 KB )
  80. /www/wwwroot/somaxbio.com/vendor/topthink/think-multi-app/src/Service.php ( 1.05 KB )
  81. /www/wwwroot/somaxbio.com/vendor/topthink/think-trace/src/Service.php ( 0.77 KB )
  82. /www/wwwroot/somaxbio.com/vendor/topthink/framework/src/think/Middleware.php ( 6.72 KB )
  83. /www/wwwroot/somaxbio.com/vendor/topthink/framework/src/think/initializer/BootService.php ( 0.77 KB )
  84. /www/wwwroot/somaxbio.com/vendor/topthink/think-orm/src/Paginator.php ( 11.86 KB )
  85. /www/wwwroot/somaxbio.com/vendor/topthink/think-validate/src/Validate.php ( 63.20 KB )
  86. /www/wwwroot/somaxbio.com/vendor/topthink/think-orm/src/Model.php ( 23.55 KB )
  87. /www/wwwroot/somaxbio.com/vendor/topthink/think-orm/src/model/concern/Attribute.php ( 21.05 KB )
  88. /www/wwwroot/somaxbio.com/vendor/topthink/think-orm/src/model/concern/AutoWriteData.php ( 4.21 KB )
  89. /www/wwwroot/somaxbio.com/vendor/topthink/think-orm/src/model/concern/Conversion.php ( 6.44 KB )
  90. /www/wwwroot/somaxbio.com/vendor/topthink/think-orm/src/model/concern/DbConnect.php ( 5.16 KB )
  91. /www/wwwroot/somaxbio.com/vendor/topthink/think-orm/src/model/concern/ModelEvent.php ( 2.33 KB )
  92. /www/wwwroot/somaxbio.com/vendor/topthink/think-orm/src/model/concern/RelationShip.php ( 28.29 KB )
  93. /www/wwwroot/somaxbio.com/vendor/topthink/think-helper/src/contract/Arrayable.php ( 0.09 KB )
  94. /www/wwwroot/somaxbio.com/vendor/topthink/think-helper/src/contract/Jsonable.php ( 0.13 KB )
  95. /www/wwwroot/somaxbio.com/vendor/topthink/think-orm/src/model/contract/Modelable.php ( 0.09 KB )
  96. /www/wwwroot/somaxbio.com/vendor/topthink/framework/src/think/Db.php ( 2.88 KB )
  97. /www/wwwroot/somaxbio.com/vendor/topthink/think-orm/src/DbManager.php ( 8.52 KB )
  98. /www/wwwroot/somaxbio.com/vendor/topthink/framework/src/think/Log.php ( 6.28 KB )
  99. /www/wwwroot/somaxbio.com/vendor/topthink/framework/src/think/Manager.php ( 3.92 KB )
  100. /www/wwwroot/somaxbio.com/vendor/psr/log/src/LoggerTrait.php ( 2.69 KB )
  101. /www/wwwroot/somaxbio.com/vendor/psr/log/src/LoggerInterface.php ( 2.71 KB )
  102. /www/wwwroot/somaxbio.com/vendor/topthink/framework/src/think/Cache.php ( 4.92 KB )
  103. /www/wwwroot/somaxbio.com/vendor/psr/simple-cache/src/CacheInterface.php ( 4.71 KB )
  104. /www/wwwroot/somaxbio.com/vendor/topthink/think-helper/src/helper/Arr.php ( 16.63 KB )
  105. /www/wwwroot/somaxbio.com/vendor/topthink/framework/src/think/cache/driver/File.php ( 7.84 KB )
  106. /www/wwwroot/somaxbio.com/vendor/topthink/framework/src/think/cache/Driver.php ( 9.03 KB )
  107. /www/wwwroot/somaxbio.com/vendor/topthink/framework/src/think/contract/CacheHandlerInterface.php ( 1.99 KB )
  108. /www/wwwroot/somaxbio.com/vendor/topthink/framework/src/think/Console.php ( 22.89 KB )
  109. /www/wwwroot/somaxbio.com/app/Request.php ( 0.09 KB )
  110. /www/wwwroot/somaxbio.com/vendor/topthink/framework/src/think/Request.php ( 55.78 KB )
  111. /www/wwwroot/somaxbio.com/app/middleware.php ( 0.25 KB )
  112. /www/wwwroot/somaxbio.com/vendor/topthink/framework/src/think/Pipeline.php ( 2.61 KB )
  113. /www/wwwroot/somaxbio.com/vendor/topthink/think-trace/src/TraceDebug.php ( 3.40 KB )
  114. /www/wwwroot/somaxbio.com/vendor/topthink/framework/src/think/middleware/LoadLangPack.php ( 3.50 KB )
  115. /www/wwwroot/somaxbio.com/vendor/topthink/framework/src/think/Cookie.php ( 6.06 KB )
  116. /www/wwwroot/somaxbio.com/vendor/topthink/framework/src/think/middleware/SessionInit.php ( 1.94 KB )
  117. /www/wwwroot/somaxbio.com/vendor/topthink/framework/src/think/Session.php ( 1.80 KB )
  118. /www/wwwroot/somaxbio.com/vendor/topthink/framework/src/think/session/driver/File.php ( 6.27 KB )
  119. /www/wwwroot/somaxbio.com/vendor/topthink/framework/src/think/contract/SessionHandlerInterface.php ( 0.87 KB )
  120. /www/wwwroot/somaxbio.com/vendor/topthink/framework/src/think/session/Store.php ( 7.12 KB )
  121. /www/wwwroot/somaxbio.com/vendor/topthink/think-multi-app/src/MultiApp.php ( 7.06 KB )
  122. /www/wwwroot/somaxbio.com/vendor/topthink/framework/src/think/Route.php ( 23.73 KB )
  123. /www/wwwroot/somaxbio.com/vendor/topthink/framework/src/think/route/RuleName.php ( 5.75 KB )
  124. /www/wwwroot/somaxbio.com/vendor/topthink/framework/src/think/route/Domain.php ( 2.53 KB )
  125. /www/wwwroot/somaxbio.com/vendor/topthink/framework/src/think/route/RuleGroup.php ( 22.43 KB )
  126. /www/wwwroot/somaxbio.com/vendor/topthink/framework/src/think/route/Rule.php ( 26.95 KB )
  127. /www/wwwroot/somaxbio.com/vendor/topthink/framework/src/think/route/RuleItem.php ( 9.78 KB )
  128. /www/wwwroot/somaxbio.com/route/app.php ( 0.47 KB )
  129. /www/wwwroot/somaxbio.com/app/data/cache/catRoute.php ( 12.45 KB )
  130. /www/wwwroot/somaxbio.com/vendor/topthink/framework/src/think/facade/Route.php ( 4.70 KB )
  131. /www/wwwroot/somaxbio.com/app/data/cache/infoRoute.php ( 3.09 KB )
  132. /www/wwwroot/somaxbio.com/app/data/cache/pageRoute.php ( 0.33 KB )
  133. /www/wwwroot/somaxbio.com/vendor/topthink/framework/src/think/route/dispatch/Callback.php ( 3.78 KB )
  134. /www/wwwroot/somaxbio.com/vendor/topthink/framework/src/think/route/Dispatch.php ( 10.44 KB )
  135. /www/wwwroot/somaxbio.com/app/index/controller/InfoView.php ( 5.35 KB )
  136. /www/wwwroot/somaxbio.com/app/index/controller/Base.php ( 0.41 KB )
  137. /www/wwwroot/somaxbio.com/app/BaseController.php ( 4.64 KB )
  138. /www/wwwroot/somaxbio.com/vendor/topthink/framework/src/think/facade/View.php ( 1.70 KB )
  139. /www/wwwroot/somaxbio.com/vendor/topthink/framework/src/think/View.php ( 4.39 KB )
  140. /www/wwwroot/somaxbio.com/app/index/model/VisitModel.php ( 5.94 KB )
  141. /www/wwwroot/somaxbio.com/vendor/topthink/framework/src/think/facade/Cookie.php ( 1.48 KB )
  142. /www/wwwroot/somaxbio.com/vendor/topthink/framework/src/think/facade/Cache.php ( 2.06 KB )
  143. /www/wwwroot/somaxbio.com/vendor/topthink/framework/src/think/exception/ErrorException.php ( 1.73 KB )
  144. /www/wwwroot/somaxbio.com/vendor/topthink/framework/src/think/facade/Request.php ( 9.20 KB )
  145. /www/wwwroot/somaxbio.com/vendor/topthink/think-orm/src/facade/Db.php ( 0.93 KB )
  146. /www/wwwroot/somaxbio.com/vendor/topthink/think-orm/src/db/connector/Mysql.php ( 5.44 KB )
  147. /www/wwwroot/somaxbio.com/vendor/topthink/think-orm/src/db/PDOConnection.php ( 52.47 KB )
  148. /www/wwwroot/somaxbio.com/vendor/topthink/think-orm/src/db/Connection.php ( 8.39 KB )
  149. /www/wwwroot/somaxbio.com/vendor/topthink/think-orm/src/db/ConnectionInterface.php ( 4.57 KB )
  150. /www/wwwroot/somaxbio.com/vendor/topthink/think-orm/src/db/builder/Mysql.php ( 16.58 KB )
  151. /www/wwwroot/somaxbio.com/vendor/topthink/think-orm/src/db/Builder.php ( 24.06 KB )
  152. /www/wwwroot/somaxbio.com/vendor/topthink/think-orm/src/db/BaseBuilder.php ( 27.50 KB )
  153. /www/wwwroot/somaxbio.com/vendor/topthink/think-orm/src/db/Query.php ( 15.71 KB )
  154. /www/wwwroot/somaxbio.com/vendor/topthink/think-orm/src/db/BaseQuery.php ( 45.13 KB )
  155. /www/wwwroot/somaxbio.com/vendor/topthink/think-orm/src/db/concern/TimeFieldQuery.php ( 7.43 KB )
  156. /www/wwwroot/somaxbio.com/vendor/topthink/think-orm/src/db/concern/AggregateQuery.php ( 3.26 KB )
  157. /www/wwwroot/somaxbio.com/vendor/topthink/think-orm/src/db/concern/ModelRelationQuery.php ( 20.07 KB )
  158. /www/wwwroot/somaxbio.com/vendor/topthink/think-orm/src/db/concern/ParamsBind.php ( 3.66 KB )
  159. /www/wwwroot/somaxbio.com/vendor/topthink/think-orm/src/db/concern/ResultOperation.php ( 7.01 KB )
  160. /www/wwwroot/somaxbio.com/vendor/topthink/think-orm/src/db/concern/WhereQuery.php ( 19.37 KB )
  161. /www/wwwroot/somaxbio.com/vendor/topthink/think-orm/src/db/concern/JoinAndViewQuery.php ( 7.11 KB )
  162. /www/wwwroot/somaxbio.com/vendor/topthink/think-orm/src/db/concern/TableFieldInfo.php ( 2.63 KB )
  163. /www/wwwroot/somaxbio.com/vendor/topthink/think-orm/src/db/concern/Transaction.php ( 2.77 KB )
  164. /www/wwwroot/somaxbio.com/vendor/topthink/framework/src/think/log/driver/File.php ( 5.96 KB )
  165. /www/wwwroot/somaxbio.com/vendor/topthink/framework/src/think/contract/LogHandlerInterface.php ( 0.86 KB )
  166. /www/wwwroot/somaxbio.com/vendor/topthink/framework/src/think/log/Channel.php ( 3.89 KB )
  167. /www/wwwroot/somaxbio.com/vendor/topthink/framework/src/think/event/LogRecord.php ( 1.02 KB )
  168. /www/wwwroot/somaxbio.com/vendor/symfony/polyfill-mbstring/Mbstring.php ( 35.32 KB )
  169. /www/wwwroot/somaxbio.com/vendor/symfony/polyfill-mbstring/Resources/unidata/lowerCase.php ( 23.96 KB )
  170. /www/wwwroot/somaxbio.com/vendor/topthink/think-helper/src/Collection.php ( 16.47 KB )
  171. /www/wwwroot/somaxbio.com/vendor/topthink/think-orm/src/db/Express.php ( 1.53 KB )
  172. /www/wwwroot/somaxbio.com/vendor/topthink/think-view/src/Think.php ( 8.38 KB )
  173. /www/wwwroot/somaxbio.com/vendor/topthink/framework/src/think/contract/TemplateHandlerInterface.php ( 1.60 KB )
  174. /www/wwwroot/somaxbio.com/vendor/topthink/think-template/src/Template.php ( 46.61 KB )
  175. /www/wwwroot/somaxbio.com/vendor/topthink/think-template/src/template/driver/File.php ( 2.41 KB )
  176. /www/wwwroot/somaxbio.com/vendor/topthink/think-template/src/template/contract/DriverInterface.php ( 0.86 KB )
  177. /www/wwwroot/somaxbio.com/runtime/temp/860317fa64ee7590f085c0fea80e7674.php ( 32.01 KB )
  178. /www/wwwroot/somaxbio.com/app/index/model/LabelModel.php ( 7.63 KB )
  179. /www/wwwroot/somaxbio.com/vendor/topthink/framework/src/think/Response.php ( 8.81 KB )
  180. /www/wwwroot/somaxbio.com/vendor/topthink/framework/src/think/response/Html.php ( 0.97 KB )
  181. /www/wwwroot/somaxbio.com/vendor/topthink/think-trace/src/Html.php ( 4.30 KB )
  1. CONNECT:[ UseTime:0.000718s ] mysql:host=localhost;port=3306;dbname=somaxbio_com;charset=utf8mb4
  2. SHOW FULL COLUMNS FROM `db_cat` [ RunTime:0.002422s ]
  3. SELECT * FROM `db_cat` WHERE `catid` = 51 LIMIT 1 [ RunTime:0.001098s ]
  4. SHOW FULL COLUMNS FROM `db_cat_data` [ RunTime:0.001948s ]
  5. SELECT * FROM `db_cat_data` WHERE `catid` = 51 LIMIT 1 [ RunTime:0.000851s ]
  6. SHOW FULL COLUMNS FROM `db_cms_product` [ RunTime:0.001743s ]
  7. SELECT * FROM `db_cms_product` WHERE `id` = 20 LIMIT 1 [ RunTime:0.001432s ]
  8. SHOW FULL COLUMNS FROM `db_cms_product_data` [ RunTime:0.001395s ]
  9. SELECT * FROM `db_cms_product_data` WHERE `id` = 20 LIMIT 1 [ RunTime:0.000829s ]
  10. SHOW FULL COLUMNS FROM `db_replace` [ RunTime:0.001476s ]
  11. SELECT * FROM `db_replace` ORDER BY `sort` ASC LIMIT 2 [ RunTime:0.000374s ]
  12. UPDATE `db_cms_product` SET `views` = `views` + 1 WHERE `id` = 20 [ RunTime:0.003246s ]
  13. SELECT `title`,`id`,`catid` FROM `db_cms_product` WHERE ( `catid` = 51 AND `id` <> 20 AND `newstime` >= 1769393702 ) ORDER BY `newstime` ASC,`id` ASC LIMIT 1 [ RunTime:0.001316s ]
  14. SELECT `titleurl`,`link` FROM `db_cms_product` WHERE `id` = 21 LIMIT 1 [ RunTime:0.000969s ]
  15. SELECT `title`,`id`,`catid` FROM `db_cms_product` WHERE ( `catid` = 51 AND `id` <> 20 AND `newstime` <= 1769393702 ) ORDER BY `newstime` DESC,`id` DESC LIMIT 1 [ RunTime:0.001307s ]
  16. SELECT * FROM `db_cat` WHERE ( `pid` = 7 AND `status` = 1 ) ORDER BY `sort` ASC [ RunTime:0.001117s ]
  17. SELECT `catid`,`modelid` FROM `db_cat` WHERE ( `pid` = 20 AND `status` = 1 ) ORDER BY `sort` ASC [ RunTime:0.000555s ]
  18. SELECT * FROM `db_cms_product` WHERE ( `catid` = 20 ) ORDER BY `sort` ASC [ RunTime:0.001807s ]
  19. SELECT `catid`,`modelid` FROM `db_cat` WHERE ( `pid` = 51 AND `status` = 1 ) ORDER BY `sort` ASC [ RunTime:0.000659s ]
  20. SELECT * FROM `db_cms_product` WHERE ( `catid` = 51 ) ORDER BY `sort` ASC [ RunTime:0.001684s ]
  21. SELECT `catid`,`modelid` FROM `db_cat` WHERE ( `pid` = 21 AND `status` = 1 ) ORDER BY `sort` ASC [ RunTime:0.000552s ]
  22. SELECT * FROM `db_cms_product` WHERE ( `catid` = 21 ) ORDER BY `sort` ASC [ RunTime:0.001833s ]
  23. SELECT `catid`,`modelid` FROM `db_cat` WHERE ( `pid` = 22 AND `status` = 1 ) ORDER BY `sort` ASC [ RunTime:0.000687s ]
  24. SELECT * FROM `db_cms_product` WHERE ( `catid` = 22 ) ORDER BY `sort` ASC [ RunTime:0.001892s ]
  25. SELECT `catid`,`modelid` FROM `db_cat` WHERE ( `pid` = 53 AND `status` = 1 ) ORDER BY `sort` ASC [ RunTime:0.000707s ]
  26. SELECT * FROM `db_cms_product` WHERE ( `catid` = 53 ) ORDER BY `sort` ASC [ RunTime:0.001615s ]
  27. SELECT `catid`,`modelid` FROM `db_cat` WHERE ( `pid` = 41 AND `status` = 1 ) ORDER BY `sort` ASC [ RunTime:0.000768s ]
  28. SELECT * FROM `db_cms_product` WHERE ( `catid` = 41 ) ORDER BY `sort` ASC [ RunTime:0.002142s ]
  29. SELECT * FROM `db_cat` WHERE ( `pid` = 7 AND `status` = 1 ) ORDER BY `sort` ASC,`catid` ASC [ RunTime:0.000881s ]
  30. SELECT `catid`,`modelid` FROM `db_cat` WHERE ( `pid` = 20 AND `status` = 1 ) ORDER BY `sort` ASC [ RunTime:0.000678s ]
  31. SELECT * FROM `db_cms_product` WHERE ( `catid` = 20 ) ORDER BY `sort` ASC [ RunTime:0.000826s ]
  32. SELECT `catid`,`modelid` FROM `db_cat` WHERE ( `pid` = 51 AND `status` = 1 ) ORDER BY `sort` ASC [ RunTime:0.000500s ]
  33. SELECT * FROM `db_cms_product` WHERE ( `catid` = 51 ) ORDER BY `sort` ASC [ RunTime:0.000785s ]
  34. SELECT `catid`,`modelid` FROM `db_cat` WHERE ( `pid` = 21 AND `status` = 1 ) ORDER BY `sort` ASC [ RunTime:0.000663s ]
  35. SELECT * FROM `db_cms_product` WHERE ( `catid` = 21 ) ORDER BY `sort` ASC [ RunTime:0.000851s ]
  36. SELECT `catid`,`modelid` FROM `db_cat` WHERE ( `pid` = 22 AND `status` = 1 ) ORDER BY `sort` ASC [ RunTime:0.000550s ]
  37. SELECT * FROM `db_cms_product` WHERE ( `catid` = 22 ) ORDER BY `sort` ASC [ RunTime:0.000803s ]
  38. SELECT `catid`,`modelid` FROM `db_cat` WHERE ( `pid` = 53 AND `status` = 1 ) ORDER BY `sort` ASC [ RunTime:0.000603s ]
  39. SELECT * FROM `db_cms_product` WHERE ( `catid` = 53 ) ORDER BY `sort` ASC [ RunTime:0.000749s ]
  40. SELECT `catid`,`modelid` FROM `db_cat` WHERE ( `pid` = 41 AND `status` = 1 ) ORDER BY `sort` ASC [ RunTime:0.000832s ]
  41. SELECT * FROM `db_cms_product` WHERE ( `catid` = 41 ) ORDER BY `sort` ASC [ RunTime:0.000704s ]
  42. SELECT `catid`,`modelid` FROM `db_cat` WHERE ( `pid` = 51 AND `status` = 1 ) ORDER BY `sort` ASC [ RunTime:0.000600s ]
  43. SELECT * FROM `db_cms_product` WHERE ( `catid` = 51 ) ORDER BY `sort` ASC [ RunTime:0.000734s ]
  44. SELECT `catid`,`modelid` FROM `db_cat` WHERE ( `pid` = 40 AND `status` = 1 ) ORDER BY `sort` ASC [ RunTime:0.000567s ]
  45. SHOW FULL COLUMNS FROM `db_cms_download` [ RunTime:0.001594s ]
  46. SELECT * FROM `db_cms_download` WHERE ( `catid` = 40 ) ORDER BY `sort` ASC LIMIT 4 [ RunTime:0.000589s ]
  47. SELECT * FROM `db_cat` WHERE ( `pid` = 7 AND `status` = 1 ) ORDER BY `sort` ASC [ RunTime:0.000592s ]
  48. SELECT `catid`,`modelid` FROM `db_cat` WHERE ( `pid` = 41 AND `status` = 1 ) ORDER BY `sort` ASC [ RunTime:0.000615s ]
  49. SELECT * FROM `db_cms_product` WHERE ( `catid` = 41 ) ORDER BY `sort` ASC [ RunTime:0.000770s ]
0.155880s